Köprü Diş Nasıl Yapılır?
Diş hekiminiz bir veya daha fazla eksik dişin yerine diş köprüleri yaptırmanızı önerdiyse, köprü diş prosedürü ve neler beklemeniz gerektiği hakkında ...
Читать далее
Şeffaf Diş Teli Fiyatları 2022 - Şeffaf Diş Teli Tedavisi
Şeffaf diş teli; diş yüzeyinde ki dişleri hareket ettirmek amacıyla takılan braketlerin metal yerine şeffaf olanlarıdır. Şeffaf diş telleri günümüzde ...
Читать далее
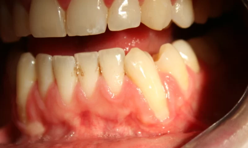
Diş Eti Çekilmesi Tedavisi Ücreti
Bir çok diş rahatsızlığı olan kişiler diş eti çekilmesi yaşamaktadır. Bu durumu etkileyen çeşitli faktörler olsa da, çoğu diş eti çekilmesi tedavi edi...
Читать далее
Diş Eti Şişmesi Nasıl Geçer? Neden Olur?
Diş eti şişmesi, ağız ve diş sağlığı bakımından bir rahatsızlığın belirtisi olarak ortaya çıkar. Diş etlerinin, içerisinden geçen kan damarları diş kö...
Читать далее
2021 YILI DİŞ MUAYENE VE TEDAVİ FİYAT LİSTESİ
Aradığınız diş tedavisi 2021 fiyatlarını görmek için lütfen tıklayınız. Diş Teli Fiyatlarıİmplant FiyatlarıDiş Beyazlatma FiyatlarıLamine Diş Fiyatlar...
Читать далее
Diş Eti Bakımı Nasıl Yapılır?
Diş eti iltihabı olasılığınız, bakteriler dişlerinizde ve diş etlerinizde ne kadar uzun süre asılı kalırsa artacaktır. Bu nedenle diş eti bakımı yaptı...
Читать далее