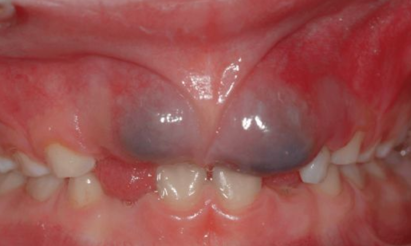
Diş eti morarması diş eti hastalıklarıyla ilgilidir, diş etleri pembe ve parlak olması gerekirken, kahverengi veya mor renk olmasıyla ortaya çıkarlar. Diş eti morarması birçok faktörden dolayı meydana gelebileceği gibi tek bir sorun nedeniyle de kendini gösterebilir. Böyle durumlarda yapılması gereken ilk şey bir diş hekimine muayene olmak olmalıdır. Kimi hastalarda bir diş operasyonu sonra oluşabilen diş eti morarması kimilerinde ise sigara, ilaç gibi etmenlerin kullanımı sonucunda ortaya çıkabilmektedir. Diş eti morarması ciddiye alınması ve acilen tedavisinin yapılması gereken bir durumdur. [caption id="" align="alignleft" width="453"]
diş eti morarması[/caption]
Diş Eti Morarması Nedir?
Diş eti morarması, diş etindeki dokuların rengini aldığı pigmentlerin yoğunlaşması ve eksilmesi gibi durumlarda ortaya çıkan renk değişimleridir. Özellikle ağız ve diş sağlığı konusunda gerekli bakımı yapmayan kişilerde daha sık görülür.
Diş Eti Morarması Neden Olur?
Diş eti morarması genetik faktörlü bazı durumlardan kaynaklanmasının dışında dışarıdan müdahaleler nedeniyle de gerçekleşebilmektedir. Başlıca diş morarması nedenleri şu şekildedir:
- Melanin:
Melanin vücut tarafından üretilen; cilde, saça ve göze rengini veren maddedir. Melanin seviyesinin yüksek olması gibi durumlarda diş etleri de koyulaşabilir. Diş eti rengi her zaman koyu bir görünümdeyse endişe edilmemesi gerekir. Fakat kısa bir süre içinde bir değişiklik fark edildiyse ve koyu renkli lekeler mevcutsa bu durum melanin kaynaklı değildir ve diş hekimine bildirilmelidir.
- Sigara:
Sigaranın içinde bulunan nikotin maddesi diş etlerinin renginde büyük ölçüde koyulaşmaya sebep olur. Aynı zamanda sigara sadece diş etinin değil ağız içinde yanakların ve alt dudağın iç kısmındaki rengi de değiştirebilir. Sağlıklı diş etleri için sigarayı bırakmak birinci koşuldur.
- İlaçlar:
Çeşitli enfeksiyonların tedavisinde kullanılan bazı ilaçlar sonucunda diş etlerinde renk değişimleri gözlemlenebilir.
- Diş Eti İltihabı:
Diş eti iltihabı beraberinde ateş yükselmesi, diş etlerinde ağrı ve kötü ağız kokusu gibi problemleri getirmesinin yanı sıra diş eti morarmasında da büyük ölçüde meydana gelen renk koyulukları oluşturabilir. Diş eti iltihabı özellikle ağız içinde biriken bakterilerin sonucunda ortaya çıkabilir. Bu bakterilerin sebebi ise diş ipi kullanmak, diş fırçalamak gibi düzenli ağız hijyeni bakımlarını yapmamaktır.
- Addison Hastalığı:
Adrenalin bezlerini etkileyen bu hastalığın bir etkisi de diş eti morarmasıdır. Bu hastalığın en belirgin belirtileri ise; aşısı susama hissi, hızlı kilo kaybı, yorgunluk, zayıflamış kaslardır.
Diş Eti Morarması Belirtileri
Diş eti morarması belirtileri en başta diş etlerinde koyu renk ve lekeler olarak gözlemlenmektedir. Belli başlı diğer diş eti morarması belirtileri ise şunlardır:
- Diş etinde şişlikler
- Fırçalama esnasında diş eti kanaması (ileri safhada kendiliğinden kanamalar)
- Tatlılara ve soğuk gıda maddelerine karşı aşırı hassasiyet
- Diş eti ve diş kökü arasında boşlukların, diş ceplerinin oluşması
- Diş eti iltihabı sonucu oluşan diş eti çizgisi çekilmesi
- Dişlerin aralarının açılarak birbirinden uzak görünmeleri
- Yaygın şekilde hissedilen kötü ağız kokusu
Diş Eti Morarması Nasıl Geçer?
Diş eti morarması oluşma sebebine bağlı olarak belirlenen tedavi sonrasında geçmektedir. Eğer diş eti iltihabı gibi durumlar ya da addison hastalığı varsa ilaç tedavisiyle, sigaradan kaynaklıysa sigarayı bırakmakla diş etleri normal rengine kavuşacaktır. Bunun yanı sıra diş hekimleri tarafından önerilen diş eti beyazlatıcılarıyla da morarmanın geçmesi mümkündür. Fakat bu beyazlatıcıların diş hekimi kontrolünde kullanılması gerekir, aksi takdirde diş etleri zarar görebilir. Diş eti morarması ileri bir seviyedeyse ve geçmiyorsa bu durumda cerrahi işlemler yapılır. Bunlar da diş hekimlerinin uygulayacağı lazer uygulamaları ve diş eti peeling işlemleridir. Lazer ile diş etlerine ışın uygulanarak diş eti normal rengine döndürülür. Peeling yöntemiyle de diş etlerinde boğumlu dokular açılarak acısız bir şekilde tedavi uygulanmaktadır. Bunların yanı sıra diş etlerine uygulanan solüsyonlar ve pansumanlarla da diş etlerinin tedavisi mümkündür.
Diş Eti Morarması Evde Tedavi
Diş eti morarması evde tedavi yöntemleri arasında en bilineni düzenli diş fırçalamak ve diş ipi kullanmaktır. Ayrıca ağız bakım suları kullanılarak düzenli olarak gargara yapılmalı ve diş etlerinde renk değişikliğine neden olacak diş eti iltihabı ortadan kaldırılmalıdır. Bunun yanı sıra evde uygulanabilecek bazı bitkisel yöntemlerle de diş etlerinizin mor görüntüsünün tedavisi mümkündür. Bunlardan en bilineni tuzlu ve karbonatlı su ile her gün gargara yapmak, yeşil çay tüketmek ve diş etlerine aloe vera jeli sürmektir.
Bebeklerde Diş Eti Morarması
Bebeklerde diş eti morarması gelişim aşamasının bir sonucu olarak diş sürmesi döneminde gerçekleşebilir. Bu durum süt dişlerinden ana dişlere geçiş esnasında kaynaklanmaktadır. Böyle durumlarda bebeklerde diş eti morarmasının önüne geçmek için ilk etapta temiz parmaklarla bebeklerin diş etlerine nazik masaj yapılması kanlanmanın azaltılması sağlanmalıdır. Daha sonrasında ise vakit kaybetmeden diş hekimine gidilmesi gerekmektedir. Diş hekimi tarafından yapılacak risksiz küçük bir kesi işlemi ile dişin rahat çıkması sağlanarak morarma giderilecektir. Ücretsiz Randevu Eğer dişlerinizde yamukluk ve çarpıklık gibi sorunlar varsa ortodontist tarafından muayene edilerek diş teli fiyatları hakkında bilgi alabilir, veya şeffaf plak tercih edebilirsiniz.

0 Yorum
Henüz yorum yapılmamış. İlk yorumu siz yapın!