Diş eti şişmesi, diş taşı ve diş eti iltihabı gibi pek çok farklı sebeple oluşabilmektedir. Diş eti şişmesi neden olur tespit edilmeli ve doğru tedavi uygulanmalıdır. Diş etlerine mikro organizmaların yerleşmesiyle iltihabi bir yapıya neden olmaları diş etinin şişmesine sebep olur. Tedavisinde ilk olarak şişmenin sebebi tespit edilerek bu sorun ortadan kaldırılmalıdır. Ciddiye alınmaması durumunda daha büyük diş eti problemlerine yol açacağı bilinmelidir.
Diş Eti Şişmesi Nedir?
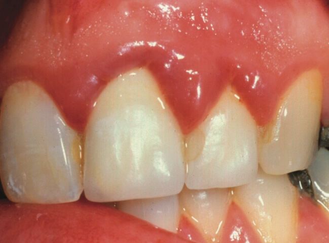
Diş eti şişmesi problemi yalnızca bir dişte oluşabileceği gibi aynı zamanda birkaç diş ve hatta ağız içi tüm dişlerde birlikte görülebilmektedir. Pembe renkli bir doku olan diş eti dişin etrafından başlayarak diş araları ve dişi sarmaktadır. Çoğu zaman diş etleri mikroorganizmalarca iltihabi bir yapı ile kaplanabilmektedir. Söz konusu mikroorganizmalar birçok yolla diş etlerine yerleşebilmektedirler. Yerleştikleri bölgelerde ise renk değişikliklerine, çiğneme yüzeylerine doğru şişmelere ve iltihaba sebep olurlar. [caption id="attachment_3799" align="alignleft" width="401"]
diş eti şişmesi[/caption]
Diş Eti Şişmesi Belirtileri Nelerdir?
Diş eti şişmesi belirtileri en yaygın olarak çiğneme yüzeyine doğru oluşan büyümeler, kanamalar ve ağrılardır. Diş etinin renginde koyu kırmızı ve maviye dönük kırmızı gibi farklılıklarda gözlemlenebilmektedir. Bazen söz konusu değişimler uzun sürede gelişirken bazen çok hızlı gelişim gösterebilmektedir.
Diş Eti Şişmesi Neden Olur? Tüm Nedenleri
Diş eti şişmesinin sistemik ve lokal olmak üzere pek çok nedeni vardır. 20’lik dişlere bağlı olarak gelişen şişmeler genel olarak çenede çıkmaya başladıkları zaman ortaya çıkar. Bu durum fizyolojiktir ancak iltihabi bir durumun eşlik etmesi halinde müdahale edilmesi gerekmektedir. Dolgu işleminin ardından yükseklik oluşması da diş etlerinde şişmeye neden olabilmektedir. Ayrıca, protez ve implant gibi uygulamalarda diş etlerine baskı yaptığı için şişme oluşabilmektedir. Ortodonti tedavisi esnasında dişe takılan tellerin hatalı konumlandırılması da diş etlerinin tahriş olarak şişmesine sebep olabilmektedir.
- Kronik İltihap Nedeniyle Diş Eti Büyümeleri; Diş etlerinde balonu andıran şişmeler başlar ve dişin ağızda görülen tüm kısmını kapatacak kadar büyüyebilir. Akut bir enfeksiyon veya travma olmaması halinde ağrısız ve sessiz gelişen bir lezyondur. Kendiliğinden küçülüp büyüyebilmektedir. Plak, ağızdan solunum yapmak, yanlış protetik tedavi, diş taşı ve anatomik anomaliler gibi sebepler başlıca nedenleridir.
- Akut İltihap Nedeniyle Diş Eti Büyümeleri; Ağrılı gelişen ve aniden oluşan diş eti büyümeleridir. Papiller ve marjinal diş etinde görülmektedir. Sert yiyeceklerin parçaları ve diş fırçası kılları gibi yabancı cisimlerce bakterilerin bağ dolusunun içerisine itilmesi neticesinde oluşur.
Ayrıca kullanılan ilaçlar, c vitamini eksikliği, ağız hijyeninin sağlanmaması, lösemi ve diş eti tümörlerine bağlı olarak da diş eti şişme problemi görülebilmektedir. [caption id="attachment_3796" align="alignright" width="401"]
diş eti şişmesi neden olur[/caption]
Diş Eti Şişmesine Ne İyi Gelir?
Diş eti şişmesine iyi gelebilecek ve evde uygulanabilecek pek çok tedavi yöntemi bulunmaktadır. Hatta halk arasında kullanılan bu tedavi yöntemlerinden bazıları buz, limon, vanilya özü, soğan ve karanfildir. Ancak diş eti şişmesinin nedenin net olarak bilinmediği ve alerji durumunun belirlenmediği durumlarda bunları kullanmamak gerekmektedir.
- Şişme kullanılan ilaçlardan kaynaklıysa hastalara alternatif başka ilaç önerilmelidir.
- Diş ve diş eti hastalıklarının önüne geçmek için diş fırçasının yumuşak kıllı olmasına, diş macunlarını seçerken dişe zarar vermeyen ürünlerden tercih etmeye ve fırçalama esnasında sert darbelerden uzak durmaya özen gösterilmelidir.
- Günde en az 3 kez dişler yumuşak hareketlerle fırçalanmalı, diş ipi kullanımı düzenli olmalı ve ağız bakımı aksatılmamalıdır.
- Tuzlu su ve karbonat karışımıyla her gün ağız içi çalkalanmalı ve tükürülmelidir.
Diş Eti Şişmesi Nasıl Geçer?
Diş eti şişmesi doktor tarafından şişmenin sebeplerinin tespit edilmesinin ardından uygulanacak tedavi aşamaları ile geçer. Diş eti şişmesine sebep olan etkenler ortadan kaldırıldığında diş eti şişmesi hızla iyileşmektedir. Diş eti şişmesinde en önemli etken ağız hijyenidir. Bu nedenle ağız hijyenin korunması için düzenli olarak diş fırçalama ve diş ipi kullanımı gerekmektedir.
Diş Eti Şişmesi Tedavisi
Diş eti şişmesi tedavisi için öncelikle diş hekimlerine başvurulmalıdır. Hekimlerin önceliği ağız ve diş sağlığı için tehdit oluşturan diş eti şişmesinin sebeplerinin ortadan kaldırılmasıdır. Diş eti büyümesi ödemden kaynaklanıyorsa bu tarz büyümelere (SRP) scalling root planig uygulanmaktadır. İlaçların yan etki göstermelerinden kaynaklı diş eti şişmelerinde ise doktor tarafından ilaç diş etine zarar vermeyecek muadili ile değiştirilmektedir. Gebelik sürecinde hormonal nedenle diş etlerinde şişmelerin oluşmasında ise tedavi uygulanmamakta ve gebelik bitiminde kendiliğinden inmesi beklenmektedir. Diş teli kullanımında geçici olarak diş eti şişmesi görülebilir. Diş teli fiyatları hakkında bize ulaşarak fiyat alabilir, ücretsiz olarak ortodontist muayenesi olabilirsiniz.

6 Yorum
Smile piercingimi çıkarttıktan sonra delik kapanma aşamasındayken diş etim şişmeye başladı. tuzlu su, batikon, sarımsak, elma, karbonat, diş hijyeni vs 2 gündür dikkat ediyorum uyguluyorum fakat hala aynı sadece 2 ön dişim. Dişim sallanmıyor ama ağzımı kapatınca yemek yerken vs dişim öne doğru diş etinden düşüyor gibi hissediyorum, normal mi geçer mi napmalıyım
İyi günler yaklaşık 11 yıl önce sağ altta sanırım 4 numara olan (kök) dişime kanal tedavi ve dolgu yaptırdım. Dişimin dibi şişti. Doktora gittim ve çekilecek dedi. Ben çekilmesi taraftarı değilim bu sebeple 2 Aydın şiş duruyor. Kurtulma ihtimali varmıdır. Gargara ve diş fırçalama konusun da çok pasif birisiydin artık dikkat etmeye başladım. Öneriniz olur mu. Teşekkür ederim.
Endodonti uzmanımız dişinize 2. bir tedavi uygulayarak kurtarma ihtimali var ancak en doğru ifadeyi kullanabilmemiz için muayene etmemiz gerekmektedir. 0554 685 89 68 numara üzeriden randevu alırsanız kontrol sağlayalım dişinizi kurtarıp kurtaramayacağımız hakkında.
Abi veya Abla bence çektir bir dişin yüzünden tüm dişler gider
Yamuk yumuk dişli olmak eskiden kader diye düşünüyordu benim dişlerim ayrı araştırma yaparken bu siteyi buldum diş teli fiyatları çok uygun fırsatını bulduğum zaman yaptıracağım herkese tavsiye ediyorum