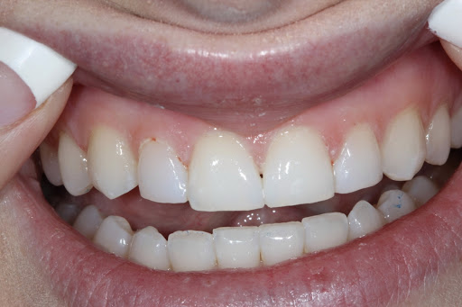
Ön diş dolgusu estetik açıdan kullanışlı olmayan ön dişlere yapılır. Ön diş dolgusu fiyatları 2021 yılında kullanılan malzemeye göre belirlenmektedir. Ön diş dolgusu yapılacak hastaların dişlerindeki kırıklar ve çatlaklar hem kötü bir görünüm oluşturur hem de ısırma ve koparma gibi işlevlerini yerine getiremezler. Böyle durumlarda ön diş estetik uygulaması yapılarak dişler kurtarılmaktadır. Ön diş dolgu yapılacağı zaman uygulanacak olan dolgu malzemesi diş doğal diş renginde olmalı ve estetik olarak diş boşluğuna uygun görüntü sağlanmalıdır. [caption id="attachment_6718" align="alignleft" width="401"]
ön diş dolgusu[/caption]
Ön Diş Dolgusu Nedir?
Ön diş dolgusu genetik veya diş çürüğü gibi çeşitli travmalara bağlı olarak hasar görmüş ön dişler için uygulanan bir işlemdir. Ön diş dolgusu yapılırken dişlerin arasındaki diastema denilen boşluklar da kapatılmakta ve ayrık olan diş görüntüsü düzeltilmektedir.
Ön Diş Dolgusu Nasıl Yapılır?
Ön diş dolgusu yapım aşamaları kaç adet dişe, nasıl çürüklere, hangi malzemelerin uygulanacağına göre değişiklik göstermektedir. Eğer ön dişlerde diş hekiminin temizleyeceği düzeyde bir çürüme mevcutsa çürüme temizlenerek dolguya gerek duyulmaz. Fakat dişlerde kırık veya dişler arasında fazla boşluklar mevcutsa ön diş dolgusu işlemine başlanır. Ön diş dolgusu yapım aşamaları şu şekildedir:
- Gülümseme esnasında hastanın fotoğrafı çekilir ve fotoğraf ortamına aktarılan bu gülümseme üzerinde düzeltmeler yapılarak nasıl bir işlem yapılacağı hastaya gösterilir.
- Uygulanacak kompozit dolgu malzemenin diş yüzeyine tutunabilmesi için özel asit sürülerek 15 sn. içinde dişlerin pürüzleşmesi beklenir.
- 15 saniye sonra dişler yıkanarak asitten arındırılır ve kurutulur.
- Diş kurutulduktan sonra bond adı verilen adevizler diş yüzeyine uygulanarak diş ve dolgu malzemesinin birbirine tutunması sağlanır.
- 20 saniye boyunca bekleyen bu bonding ajanı üzerine yoğun hava spreyi tutulur ve pürüzleştirilen yüzeyin penetre olması sağlanır.
- Üzerine kompozit dolgu uygulanabilmesi için mavi ışık tutularak bonding ajanının sertleşmesi sağlanır.
- Kompozit veya seramik malzemeli dolgular tabakalama tekniği kullanılarak ön diş dolgusu yapılır.
- Son olarak fazla olan diş dolgu artıkları temizlenir, diş parlatılır ve cilalanır.
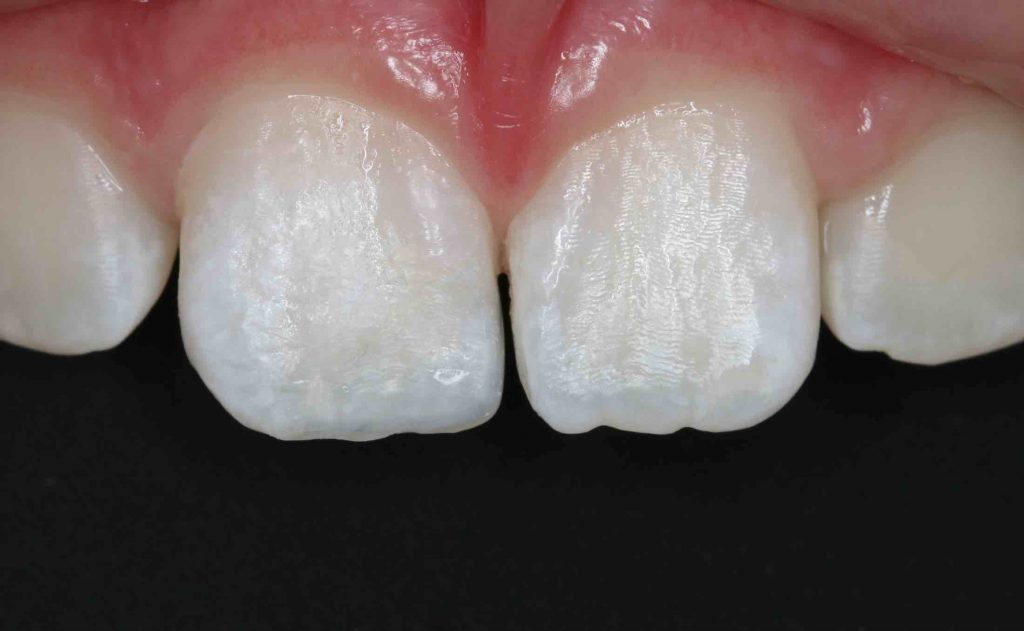
[caption id="attachment_6721" align="alignright" width="401"]
ön diş dolgusu[/caption]
Ön Diş Dolgu Çeşitleri Nelerdir?
Ön diş dolgu malzemesi olarak sıklıkla kompozit dolgu kullanılır. Bunun haricinde kullanılan amalgam dolgu ve porselen dolgular da mevcuttur.
- Kompozit Dolgu:
Kompozit dolgu tüm dişler söz konusu olduğunda en çok kullanılan dolgu yöntemleri arasındadır. Kompozit dolgu yönteminde dişlere önceden herhangi bir aşındırma yapılmasına gerek yoktur. İçinde cıva bulunmaz ve bu açıdan insan sağlığı üzerinde de bir risk oluşturmaz. Doğal diş rengine daha uygun beyaz renktedir. Ön dişlere yapılması daha uygun olan bu dolgu türü arka dişlere uygulandığında kalıcı olamayabilir.
- Amalgam Dolgu:
Amalgam dolgu ağız hijyeni bakımından yetersiz kalan hastalar için uygulanan bir yöntem olmakla beraber antimikrobiyal özelliği olan maddelerden yapılır. Doğal diş renginden farklı olarak gümüş renginde olan bu amalgam dolguların ücretleri de kompozit dolgulara göre çok uygundur. İçerisinde cıva bulunması nedeniyle tehlikeli olabileceği düşünceleri ise 2017’de FDA tarafından açıklanan araştırma sonucunda ortadan kalkmıştır.
- Altın ve Porselen Dolgular:
Altın ve porselen dolgular kompozit ve amalgamla kıyaslandığı zaman oldukça maliyetlidirler. Özellikle altın adından da anlaşılacağı üzere altından yapılan bir kaplama malzemesidir. Bu her iki dolgu malzemesi de kalıcılık bakımından oldukça uzun ömürlüdür.
Ön Diş Dolgusu Ne Kadar Dayanır?
Ön diş dolgusu yapılan dolgu malzemesinin kalitesine göre farklılıklar gösterebilir. Estetik ön diş dolgular, ağız ve diş sağlığı bakımından gereken ilgi ve alaka gösterildiğinde ortalama 7-10 yıl kadar dayanabilmektedirler. Ayrıca diş üzerine yapılan dolgunun büyüklüğü de göz önüne alındığında düzenli olarak diş hekimleri ziyaret edilerek bu süre uzatılabilir. Ön diş dolgusu dayanma süreleri şu şekildedir:
- Gümüş renkli amalgam dolgular yaklaşık 15 – 20 yıl dayanır.
- Altın rengindeki altın dolgular yaklaşık 20 – 30 yıl dayanır.
- Doğal diş rengindeki beyaz kompozit dolgular 7 – 10 yıl dayanır ve bu süre sonunda değiştirilip yeniden dolgu yapılır.
Ön Diş Dolgusu Fiyatları 2021
Ön diş dolgusu fiyatları 2021 yılında kullanılacak olan diş dolgu malzemesinin türüne göre 400 TL ile 700 TL arasında değişiklik gösterebilir. Yapılması gereken kanal tedavisi gibi durumlar varsa bunlar da ön diş dolgusu 2021 üzerinde etki edebilmektedir. Diğer bölge diş dolgu fiyatları buradan bakabilirsiniz.
Ön Diş Dolgusu Belli Olur Mu?
Ön diş dolgusunun belli olup olmayacağı hangi dolgu yönteminin seçileceğine bağlı olarak değişmektedir. Kompozit ve porselen dolgu yönteminde belli olmazken, altın ve amalgam dolgu yönteminde belli olabilir.
Ön Diş Dolgusu Düşer Mi?
Ön diş dolgusu uzman diş hekimi kontrolünde uygun yöntem seçilerek yapıldığı zaman düşmez. Fakat daha sonradan diş sıkma, diş gıcırdatma ve kazalar gibi oluşabilecek diş travması durumlarında ön diş dolgusu düşebilir.
Ön Diş Dolgusu Acıtır Mı?
Ön diş dolgusu acıtmaz, fakat acıyacak bir durum varsa da diş hekimi tarafından bölge uyuşturularak acımaması sağlanır. İşlem sırasında acı olmayacağı gibi işlem sonrasında da acı veya ağrı olmaz. Operasyon sonrasında dolgularda çiğneme esnasında oluşabilecek hassasiyetlere karşı ilk birkaç gün o dişlerin kullanılmaması da önemlidir.
Ön Diş Dolgusunun Bakımı ve Temizliği Nasıl Olmalıdır?
Ön diş dolgusunun bakımı ve temizliği işlemi yapan diş hekimin direktifleri doğrultusunda olmalıdır. Uygun periyotlarda diş hekimi ziyaret edilmeli ve dolgu durumu kontrol ettirilmelidir. Bunun haricinde günlük düzenli olarak dişler fluoridli diş macunu ile fırçalanmalı ve günde en az 1 defa diş ipi kullanma alışkanlığı edinilmelidir. Ayrıca kişi ön diş bakımı yaparken arka dişlerini de ihmal etmemeli, oluşacak çürükleri önlemek için arka dişleri de düzenli olarak fırçalamalıdır. Dişlerinizde diş boşlukları varsa bonding diş tedavisi olabilir, veya ortodontist muayenesi sonrası diş teli fiyatları konusunda teklif alabilirsiniz. Ücretsiz muayene için iletişime geçin.

0 Yorum
Henüz yorum yapılmamış. İlk yorumu siz yapın!