Porselen diş tedavisi fiyatları hastanın isteklerine göre belirlenir. Porselen diş kaplama fiyatları seçilecek diş kaplama türüyle 2021 yılında netleşir. Porselen diş tedavisi ile hastaların estetik kaygıları ortadan kaldırılır, daha güzel bir gülüşe sahip olmaları sağlanır. Porselen diş kaplama; fonksiyonunu kaybetmiş, birbirinden farklı nedenlerle madde kaybına uğramış dişleri hem estetik hem de fonksiyonel açıdan tekrar kullanılabilir hale getirmek için uygulanan bir tedavi yöntemidir. Porselen diş kaplama dişlerin üzerine yaprak şeklinde yerleştirilen bir tür başlık şeklindedir.
Porselen Diş Kaplama Nedir?
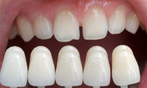
Porselen diş kaplama tedavisi, diş üzerine porselen malzemelerden yapılan kaplamaların kalıcı olarak yerleştirilmesi işlemidir. Porselen diş kaplama, kişinin diş rengi ve biçimine özel ve uygun olarak yapılır. Porselen kaplama çok yüksek kaliteye sahip malzemelerden üretilmektedir.
Porselen Diş Kaplama Kimlere Uygulanabilir?
Porselen diş kaplama; estetik bir kaygısı olan veya herhangi bir şekilde doğal dişlerinin görünümünden memnun olmayan kişilere uygulanabilmektedir. Porselen diş kaplamanın uygulama alanları şunlardır;
- Porselen kaplama, diş beyazlatma işlemi ile beyazlamayan ileri derecede rengi değişmiş dişlere uygulanabilir.
- Porselen kaplama, form veya şekil değişikliğine uğramış dişlere uygulanabilir.
- Porselen diş kaplama, diestema yani ayrık dişleri birleştirmede kullanılabilir.
- Kırık ya da aşınmış dişlerin formunun düzgünleştirilmesinde porselen kaplama kullanılabilir.
- Rengi veya yapısı bozulan eski dolguların düzeltilmesinde porselen kaplama kullanılabilir.
- Ortodontik tedavi görmek istemeyen kişilerde çapraşık veya eğri dişlerin düzeltilmesi için bir alternatif olarak porselen kaplama tedavisi uygulanabilir.
- Eksik diş durumlarında porselen diş kaplama tedavisi kullanılabilir.
- İleri seviyede çürüklerin dolguyla halledilemeyeceği durumlarda porselen kaplamadan yararlanılabilir.
- Estetik bir kaygısı olan kişilere full porselen kaplama işlemi uygulanabilir.
Porselen Diş Kaplama Tedavisi Nasıl Yapılır?
Porselen diş kaplama çok aşamalı bir tedavi yöntemidir. Porselen diş kaplama nasıl yapılır sorusunu şu şekilde sırasıyla açıklayabiliriz.
- Öncelikle porselen kaplama diş yapılacak yüzey özel aletler yardımıyla temizlenir.
- Ardından porselen kaplama yapılacak dişin üzerinde kaplamanın oturabilmesi için 0.5 mm ile 0.7 mm arası bir inceltme işlemi uygulanır.
- Dişi inceltme işleminin ardından ağız ölçüsü alma işlemi gelir. Bu ölçü alma işlemi klasik kalıp alma yöntemi veya üç boyutlu görüntüleme teknolojisinden yararlanılarak yapılmaktadır.
- Kalıp alma işleminin ardından, kalıplar ve görüntüler istenilen ölçülerle beraber laboratuvarlara gönderilmektedir. Porselen kaplamanın üretim aşaması yaklaşık 2 hafta sürmektedir.
- Porselen kaplama laboratuvardan gelene kadar kesilen dişlerin rahatlıkla kullanılabilmesi ve dişlerin zarar görmemesi için geçici kaplamalar yapılır.
- Porselen kaplamalar laboratuvardan geldikten sonra, diş hekimi hastanın ağzında kaplamalarla ilk provayı gerçekleştirir. Provalar sırasında problem oluşursa ve bu problemler diş hekimi tarafından giderilemezse porselen kaplamalar tekrar laboratuvara gönderilir ve orada düzeltilir.
- Provada problem çıkmayana dek bu işlem devam eder ve son kez parlatma işlemi için kaplama laboratuvara gönderilir.
- Son hali gelen porselen kaplamalar, özel yapıştırıcı ile dişlere yapıştırılır ve porselen diş yapımı işlemi sonlandırılmış olur.
Porselen Diş Kaplama Fiyatları Ne Kadar?
Ağız ve diş sağlığı için oldukça estetik ve konforlu olan porselen diş fiyatı büyük merak konusudur. Porselen diş kaplama fiyatları 2021 listesi:
- Veneer seramik kron: 930 TL,
- İmplant üstü veneer seramik porselen kaplama: 1125 TL,
- Veneer seramik porselen lamine: 2225 TL,
- Metal desteksiz tam seramik kaplama: 2160 TL.
Bu fiyat listesi Türk Diş Hekimliği Birliği'nin taban porselen diş kaplama fiyat listesidir. İşlemin fiyatını birçok faktör etkileyeceğinden diş hekimi tarafından yapılan muayene ardından tam bir porselen diş fiyatı öğrenmek mümkündür. Hemen AraRandevu AlWhatsapptan Yaz
Porselen Diş Kaplama Fiyatlarını Etkileyen Faktörler
Porselen diş kaplama fiyatlarını, malzemelerin yurtdışından getiriliyor olması nedeniyle döviz etkilemektedir. Porselen diş kaplama fiyatlarını etkileyen faktörler:
- Porselen kaplamada kullanılacak malzemeler ve malzemelerin kalitesi,
- Porselen diş kaplaması uygulanacak diş sayısı,
- Hastaya uygulanması gereken ekstra tedaviler,
- Porselen diş kaplamasının yapıldığı kliniğin özellikleri,
- Operasyonu gerçekleştiren hekimin tecrübesi,
- Hastanın ağız ve diş sağlığını koruyucu önlemler.
- Kira fiyatları, asgari ücret artışı ve enflasyon gibi etkenler,
Yukarıda saydığımız birçok faktör nedeniyle porselen diş kaplama işlemi uygun fiyatlı bir tedavi yöntemi değildir.
Porselen Kaplama Diş Ömrü Ne Kadardır?
Porselen kaplama diş ömrü ortalama 15-20 sene olarak belirlenir. Ancak porselen kaplama diş ömrünü kişinin porselen kaplamalarına nasıl baktığı da etkilemektedir. Tedavi sonrası ağız ve diş sağlığına dikkat edilmeli, düzenli diş fırçalanmalı ve diş ipi kullanılmalı ayrıca diş hekimine düzenli olarak gidilerek muayene olunmalıdır. Düzenli muayeneler sayesinde porselen kaplamaların ömrü uzatılır.
Porselen Diş Kaplama ile Zirkonyum Kaplama Arasındaki Farklar
Porselen diş kaplama ile zirkonyum diş kaplama işlemleri temelde aynıdır. Ancak porselen kaplamada ve zirkonyum kaplamada kullanılan materyal farklılıkları ile birbirlerinden ayrılırlar.
- Zirkonyum diş kaplamaları estetik duruşları, doku uyumlulukları ve doğallıkları ile porselen kaplamadan açık ara öndedir. Zirkonyum kaplamalar için kullanılacak malzemelerin de birçok kalite seçeneği mevcuttur. Planlamalar ve ölçümler doğru yapıldığı takdirde ve uzun köprülerde kullanılmadığı sürece kırılmaları zordur. Zirkonyum kaplamada daha canlı ve daha doğal sonuçlar elde edilir.
- Porselen kaplamalar metal desteklidir ve metal destekli kaplamalar ışık geçirmezler. Zirkonyum kronlara göre daha soğuk renkli ve matlardır.
- Porselen kaplamada diş formunun oluşturacağı seramiği destekleyen materyal için metal köprüler kullanılır ancak zirkonyum kaplamada bu materyal beyaz renktedir ve diş etinden koyu renk yansımalar oluşturmaz, ışığa geçirgendir.
- Zirkonyum kaplamalar, genellikle ön dişlerde meydana gelen boşluk problemlerinde, şekil bozukluklarında, kırılmış veya aşınmış dişlerde ve kötü diş renklerinde kullanılmaktadır. Özellikle ön dişlerde porselen kaplama uygulaması gün geçtikçe azalmaktadır. Estetik açıdan gerçek dişe daha çok benzeyen ve gerçek dişten ayırt edilmesi zor olan zirkonyum kaplama hem ön hem de arka dişlerde kolaylıkla uygulanabilmektedir.
- Porselen kaplama, altına yerleştirilecek olan metal desteğin üzerine sürülen opak rengi yansıtabilmektedir. Bu yansımanın da yaşanmasının istenmediği durumlarda dişten fazla miktarda aşındırma yapılması gerekir. Zirkonyum kaplamalarda, opak renk problemi olmadığından dişten daha çok aşındırma yapmaya gerek kalmaz. Bu nedenle zirkonyum kaplama fazla aşındırma gereken durumlarda daha çok tercih edilmektedir.
- Metal destekli porselen kaplamalarda uzun vadede diş eti çekilmesine bağlı olarak diş etinde renk yansımaları görülebilmektedir. Ancak zirkonyum kaplama diş eti ile çok yüksek bir uyum sağladığından diş eti çekilmesi problemini minimum seviyeye indirir.
- Porselen kaplama metal destekli olduğundan zirkonyum kaplamaya oranla daha az maliyetlidir.
- İyi yapılmış porselen kaplamalarda zirkonyuma oranla daha uzun ömürlü sonuçlar elde edilebilmektedir. Yani zirkonyum kaplama daha uzun ömürlüdür demek doğru değildir. Ancak ağız ve diş eti sağlığı için çok daha uygundur denilebilir.
- Porselen kaplamalarda diş kesimi daha fazladır. Yani kişinin kendi dişinden kaybı daha çoktur. Zirkonyum kaplamalarda ise kişinin kendi dişinden kaybı daha az olur.
- İmplant işlemi yapılacak protez hastalarında, tam çene protezlerde genellikle metal altyapı tercih edilir. Porselen yerleştirilecek alan daha çok olduğundan dolayı estetik sonuç almak bu protezlerde porselen kaplama ile mümkün olabilmektedir.
Kaplamalar ile giderilemeyecek derecede dişlerinizde boşluk ve çarpıklık varsa ortodontist tarafından muayene edilerek size en uygun diş teli fiyatları hakkında bilgi alabilirsiniz. Diş teli kullanmak istemezseniz şeffaf plak sizin için en iyi tercihte olabilir. Şu yazımıza da göz atabilirsiniz zirkonyum diş fiyatları

4 Yorum
Merhabalar, Benim 1 adet dişim kırıldı 1 adet diş yaptırmak mümkün mü acaba?
Ben ön üst dislrimin 6tanesini yaptırmak istiyorum fiyat nedir
Slm dişlerimde 9 tane çürük var onları çektirip diş yaptırmak istiyorum artı kaplatma istiyorum fiyat nedir gilgi verirseniz sevinirim
Selamün aleyküm Ben dişlerimi temizletip komple kaplatmak istiyorum Fiyat nekadar ve nekadar sürüyor Bir fiyat alabilirmiyim