[caption id="attachment_5879" align="alignright" width="350"]
diş kırılması[/caption] Diş kırılması, diş minesinin incelmesi sonucu ortaya çıkan bir durumdur. Diş kırılmasına neden olan bu duruma, çürük dişler zemin hazırlamaktadır. Diş kırılması problemi yaşayan kişilerin birçoğu, ağızlarının içerisinde çözünemeyen sert bir cisim hissettiklerinde ya da kırılan parça fırladığında durumu fark etmektedirler. Böyle durumlarda, bir an önce bir uzmana başvurularak en uygun ve en doğru diş tedavisi programına başlanması gerekir. Diş kırılma sorunu özellikle diş çürükleri görülen dişlerde daha sık yaşanmaktadır. Diş kırılması da tıpkı çürükler gibi yalnızca görüntü bozukluğuna değil, aynı zamanda ağrı ve sızıya da sebep olabilmektedir.
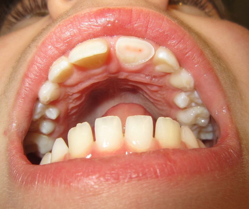
Diş Kırılması Nedir?
Diş kırılması, toplumda çok sık rastlanan durumlardan biridir. Hastanın kemik ve diş yapısı, dişe aşırı güç uygulanması ve travma gibi pek çok farklı sebebe dayalı olarak dişte kırılma meydana gelebilmektedir. Her yaş grubunda ve her cinsiyette görülebilmektedir. Diş kırılması, sadece dişin ağızda görülen kısmı olan kuronda oluşmayabilir. Bazen bu kırık hattı, dişin köküne dek ilerler. Bu tür kırıklara vertikal kök kırığı adı verilmektedir. Çoğunlukla ön bölümdedirler ve bu tarz kırıkların başlangıçları kökte başlamaktadır. Bazı durumlarda, dişin kök şekli de kırıkların oluşmasında rol oynamaktadır. Oval şekle sahip köklerde, dişin kırılmasına daha çok rastlanmaktadır. Aşırı kuvvet yüklenen dişlerin kök kısımlarında da kırıklar oluşabilir. Bu nedenle, sıkça kırılma görülen diş kökleri, alt çenede bulunan 2. azı dişleridir. [caption id="attachment_5873" align="alignleft" width="401"]
diş kırılması neden olur[/caption]
Diş Kırılması Neden Olur?
Diş kırılması, dişlerde aşınma ya da incelme olması gibi durumlarda oluşabilmektedir. Özellikle, uyanıkken ya da uyku halindeyken yapılan diş sıkma ve gıcırdatma hali, dişlerde aşınma olmasına neden olmaktadır. Söz konusu aşınma da uzun vadede dışın kırılmasına yol açmaktadır. Ayrıca diş minesinin ve dişlerin aşınmalarına yol açabilen diğer etkenler şunlardır:
- Kürdan, kalem ve takı gibi sert cisimleri kemirmek
- Yaşlılık
- Diş Çürümesi
- Kanal tedavisi
Sert Gıdalar ve Dengesiz Isırıklar
Dişler, genel olarak yüksek basınca dayanıklı da olsa bunun bir sınırı bulunmaktadır. Sert şekerleri çiğnemek, buz kırmak ve fındıkkabuğunu diş ile kırmaya çalışmak gibi eylemler, kısa sürede diş kırılmasına neden olabilmektedir. Aşağıda belirtilen etkenler de diş üzerindeki baskının artarak dişlerin kırılmasına sebep olabilir:
- Düzensiz ve çarpık dişler
- Dengesiz olarak tasarlanan diş kaplamaları
- Ağzın tam ve düzgün olarak kapanmaması
- Oyuk dişler
- Cıva dolgular
Sıcaklık Farkları
Sıcak bir yemeği, buzlu bir içecek ile tüketmek gibi; aşırı soğuk ve sıcak farkı oluşturan şeyler, diş etlerini genleştirmekte ve diş kırılmalarına sebep olabilmektedir. Bu tarz küçük kırıklar, genel olarak vücudun mineral takviyesiyle onarılabilmektedir; fakat bazen hasara da yol açabilirler.
Darbe
Kontrolsüz düşüş, temas sporları ve araba kazaları gibi durumlar, dişlerde travmaya sebep olarak sıklıkla diş kırıklarına neden olabilmektedirler.
Azı Diş Kırılması
Azı diş kırılması, diş kırılma vakalarının en sık rastlandığı durumlardandır. Azı diş kırılmalarında; diş hekimi tarafından muayene yapılarak kırık hattının mevcut durumu, dişlerin kanal yapıları ve geriye kalan sağlam dokunun miktarı gibi birçok etkene bakılır. Bu sayede, dişlerin ağızda tutulmalarının mümkün olup olmadığına karar verilir. Günümüzde, kırık dişin üzerine yapılan farklı restorasyonlar ile bu dişlerin fonksiyon kazanması sağlanabilmektedir.
Dolgulu Diş Kırılması
Dolgulu diş kırılması, zaman içerisinde farklı nedenlerle olabilmektedir. Bu gibi durumlarda, normal diş kırıklarında olduğu gibi; diş hekiminin, kırık hattının derinliğini incelemesinin ardından, yapılacak işlemler belirlenmektedir. Kırık hattının, diş eti dokusunun altına kadar indiği durumlarda dişin çekilmesi daha uygun görülmektedir. Ancak, diş etinin altına inmeyen kırıklarda, kırılan parçanın yerine dolgu yapılarak daha sonra üzeri kaplanır ve ağızda istenilen fonksiyonu görmesi sağlanır. Kaplama yapılmaması halinde ise, üzerine çiğneme kuvveti gelmeye devam edeceği için, bir müddet sonra yeniden kırılma ihtimali oldukça yüksektir.
Çürük Diş Kırılması
Çürük diş kırılması sonrasında; kırılan diş, diş hekimi tarafından detaylıca incelenmektedir. Şayet, kırılan parçanın gerisinde kalan kısım dolgu ve benzeri tedavi yöntemleri ile kurtulabilecek seviyedeyse kurtarmak adına bir tedavi programı hazırlanır. Ancak diş artık kurtarılamayacak kadar kırılmış ya da çürümüşse, bu durumda dişin çekilmesi çok daha doğru olacaktır.
Ön Diş Kırılması
Ön dişlerin kırılması halinde, kırığın ne tür bir kırık olduğunun tespit edilmesi önem taşır. Bu kırıklar, bazen kırılan parçanın gözle görülebilecek seviyede kırılması ile oluşurken bazen yalnızca mor ışık kullanılarak tespit edilebilecek seviyede ince çatlaklar halinde olmaktadır. Diş hekimi tarafından gerekli muayenelerin yapılmasının ardından kırılmış olan ön diş için en estetik ön diş dolgusu yapılmaktadır.
Diş Kırılması Tedavisi
Diş kırılması tedavisinde, farklı kırıklar için farklı tedavi yöntemleri kullanılmaktadır. Bu tedavi yöntemleri genel olarak şu şekildedir:
- Bonding, Estetik Dolgu, Kompozit Lamine
- Tam Seramik ya da Zirkonyum Kuron
- Kanal Tedavisi
- Yaprak Porselen Lamina
Bonding ya da Dolgu Tedavisi
Diş minesinin ufak bir bölümünde, kırık olan dişin hasarının dolgu ile onarılabilmesini sağlayan işlemlerdir. Genel olarak ön diş kırıklarında, bonding uygulaması kullanılmaktadır.
Kuron
Büyük bir parça kopması sonucu diş kırıldığında, dişin bir kısmı yontulup üzerine kaplama geçirilmektedir. Kuronlar, metal başta olmak üzere; tam seramik, zirkonyum ve porselen olabilmektedir.
Yaprak Porselen
Ön dişlerde oluşan kırılmalarda kullanılabilen bir kaplama yöntemidir. Doğal görünüm sunduğu için sıklıkla tercih edilir. Güçlendirilen cam seramikler, fonksiyonel olarak da görsel olarak da istenilen başarının yakalanmasını sağlarlar. Herhangi bir durum, dişte renklenme sorununa sebep olmaz.
Kanal Tedavisi
Bazen diş kırılmaları dişte enfeksiyon oluşmasına neden olabilmektedir. Bu nedenle farklı tedavilere başlamadan önce, kanal tedavisine başlanarak enfekte olan bölgenin temizlenmesi sağlanır. Bölgenin enfeksiyondan arındırılmasının ardından diğer tedavi yöntemlerine geçilebilmektedir. Kırık diş tedavisi sonrası ortodontist muayenesi ile diş teli fiyatları hakkında bilgi alabilirsiniz.

3 Yorum
Merhaba! Üst yan dişim dolguluydu ama uyurken diş sıkması yüzünden kırıldı diş yaptırmak istiyorum acaba fiyatı ne olur
dolgu ücretleriniz ne kadar diş düzeltme işlemleri
İşini hakkıyla yapan firma teşekkürler