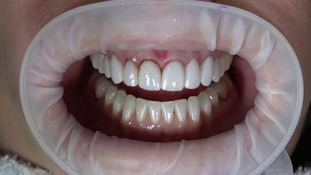
Emax dişlerdeki kötü görüntüleri kapatmak için yapılan bir diş kaplama yöntemidir. Emax diş kaplama fiyatları hastadan hastaya değişmektedir. Emax kaplamalar zamanla sararan ve çeşitli diş travmaları sonucunda oluşan diş kusurlarını kapatmak için en sık başvurulan kaplama çeşitleri arasında yer almaktadır. Bu tedavi yönteminde dişlerdeki problemlerin durumuna göre kaplama çeşidi belirlenmektedir. Emax diş kaplama aynı zamanda gülüş tasarımı estetiğinin bir parçası olup; dişlerin yapısını, rengini, görünüşünü en doğal yöntemlerle güzelleştirebilmektedir. [caption id="attachment_6593" align="alignleft" width="400"]
Emax diş[/caption]
Emax Diş Nedir?
Emax diş yeni nesil estetik diş hekimliğinde bir diş kaplama yöntemidir. Genellikle ön dişlerin tedavisi için uygulanmaktadır ve emax diş estetiğindeki amaç dişin alt yapısına uygun kaplamalar kullanmaktır.
Emax Diş Kaplama Nedir?
Emax diş kaplama, yönteminde metal kullanılmayan, cam ve seramik malzemeli kaplamalarla ışık geçirgenliğini en üst seviyede sağlayabilen bir diş kaplama yöntemidir. Bu sayede ışık doğal dişlerde parladığı gibi bu kaplama sonrasında da aynı şekilde parlamaktadır. Emax ile yapılacak olan işlemler dişler herhangi bir zarara uğramadan gerçekleştirilebilmektedir. Diğer kaplamalara göre ağız ve diş sağlığı açısından en sağlıklı materyaller kullanarak hazırlanmaktadırlar.
Emax Diş Kaplama Hangi Durumlarda Uygulanır?
Emax diş kaplama ön kesici dişlerin yüzeyindeki istenilmeyen görüntülerden kurtulmak için uygulanmaktadır ve yapılışı açısından pek çok neden bulunmaktadır.
- Sararan Dişler:
Saydam bir yapıda olup, kırılmalara ve bükülmelere karşı son derece dayanıklı olan e max diş kaplama ile uzun süre kalıcı beyaz dişler elde edilebilmektedir.
- Çapraşık ve Eğri Dişler:
Özellikle ön dişler açısından emax diş kaplama ile gülüş estetiği tasarımı açısından dişlerin restorasyonu istenilen en iyi düzeyde sağlanabilmektedir.
- Kanal Tedavisi Uygulanmış Dişler:
Daha öncesinde kanal tedavisi gibi işlemlere maruz kalmış dişlerin hassasiyeti düşünüldüğünde kırılmalar ve çatlamaları önlemek adına arka dişlerde de olmak üzere emax tedavisi uygulanabilir.
- Kırık ve Ayrık Dişler
Uzun süreli çürümeler veya çeşitli travmalara bağlı olarak oluşan kırıklar ve dişler arasındaki mesafe de emax ile düzeltilebilmektedir.
Emax Diş Kaplama Nasıl Yapılır?
Emax diş kaplama uzman bir diş hekimi tarafından çok basit şekilde uygulanabilen bir işlemdir. İlk olarak muayene esnasında dişler detaylı olarak incelenir ve hangi dişlere emax yapılacağı belirlenir. Ardından zirkonyum veya porselen kaplama olmak üzere ölçümler yapılır ve emax kaplama hazırlanmak üzere laboratuvara gönderilir. Hangi dişlere ve kaç adet dişe uygulanacağına bağlı olarak hazırlanma aşaması 1 haftayı bulabilir. Kanal tedavisi veya diş eti hastalığı gibi başka problemler yoksa kaplamaların hazırlanmasının ardından emax dişlere uygulanır. Kaplama yapılmadan önce diş yamuklukları varsa ortodontist tarafından diş teli veya şeffaf plak tedavisi yapılması gerekebilir. Bu konuda ücretsiz randevu alarak diş teli fiyatları hakkında daha detaylı bilgi alabilirsiniz. [caption id="attachment_6590" align="alignright" width="400"]
Emax diş fiyatları[/caption]
Emax Diş Mi Zirkonyum Mu?
Emax diş mi zirkonyum mu gibi bir karşılaştırma söz konusu olduğunda dişin mevcuttaki durumu ve hastanın hangi kaplama yöntemini istediği gibi durumlar göz önünde bulundurulmaktadır. Emax kaplamalar zirkonyum olanlara göre dişe uygulanacağı zaman daha az aşındırma işlemine ihtiyaç duyarlar. Zirkonyum diş rengine daha yakın beyaz bir yapıdayken emax tamamen cam seramiktir. Zirkonyum malzemesinde metal alaşımlar yer alırken emax sadece camdan ve porselenden üretilmektedir. Hassasiyet olarak ele alındığında zirkonyum kaplama dayanıklılık açısından emax yöntemine göre daha çok tercih edilir. Çünkü zirkonyum alt yapı itibariyle zirkonyum ve porselenin iki birleştirilmesi sonucu oluşturulur. Her iki yöntem de aynı sonuçları elde etmek için kullanılsa da maliyet açısından bakıldığı zaman emax daha pahalı olmaktadır.
Emax Diş Kaplama Fiyatları 2021
Emax diş kaplama fiyatları 2021 yılı itibariyle 930 TL ile 2160 TL arası değişmektedir. Buradaki fiyat artışı ve azalışında kullanılacak olan emax malzemesinin içeriği büyük oranda etkili olmaktadır. Ayrıca kaç dişe uygulanacağına ve diş hekimine bağlı olarak da fiyatlar değişebilir.

0 Yorum
Henüz yorum yapılmamış. İlk yorumu siz yapın!