Emax Nedir? Emax Diş Kaplama Fiyatları 2021
Emax dişlerdeki kötü görüntüleri kapatmak için yapılan bir diş kaplama yöntemidir. Emax diş kaplama fiyatları hastadan hastaya değişmektedir. Emax kap...
Devamını Oku
Gülüş Tasarımı Nedir? Gülüş Tasarımı Fiyatları 2021
Gülüş tasarımı sıkça tercih edilen estetik diş hekimliği uygulamalarındandır. Gülüş tasarımı fiyatları 2021 yılında işlem türüne göre belirlenmektedir...
Devamını Oku
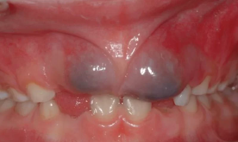
Diş Eti Morarması Nedir? Diş Eti Morarması Neden Olur?
Diş eti morarması diş eti hastalıklarıyla ilgilidir, diş etleri pembe ve parlak olması gerekirken, kahverengi veya mor renk olmasıyla ortaya çıkarlar....
Devamını Oku
Ön Diş Dolgusu Nedir? Ön Diş Dolgusu Fiyatları 2021
Ön diş dolgusu estetik açıdan kullanışlı olmayan ön dişlere yapılır. Ön diş dolgusu fiyatları 2021 yılında kullanılan malzemeye göre belirlenmektedir....
Devamını Oku
Endodonti Nedir? Endodonti (Kanal Tedavisi) Nasıl Yapılır?
Endodonti bir diş hekimi branşı olup günümüzde çoğunlukla kanal tedavisi olarak bilinmektedir. Endodonti içinde diş kökü tedavi işlemleri bulunur. End...
Devamını Oku
Gece Plağı Kullanımı & Diş Gece Plağı Fiyatları
Bu yazımızda gece plağı nedir? gece plağı nasıl kullanılır ve gece plağı fiyatları gibi bir çok soruya yanıt vereceğiz. Gece plakları kişiye özel üret...
Devamını Oku